Meth Today

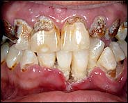
meth mouth

But what does the future hold? What do we have to look forward to?

It is a major problem, especially, in rural areas and small towns. Current facts may be an indication of what's to come.

Today, methamphetamine abuse is quickly changing the demographics in our jails and society.

Commonly known as speed, meth, chalk, Christina, Tina, ice, crystal, crank or glass. More names It is a white, odorless, bitter-tasting crystalline powder that easily dissolves in water or alcohol.

Ingredients can include battery acid, lantern fuel, antifreeze, hydrochloric acid, drain cleaner, lye and over-the-counter cold medications containing ephedrine.

Methamphetamine is a highly addictive central nervous system stimulant that can be injected, snorted, smoked, or ingested orally. After the first try, users require more and more of the drug to get that feeling again.

Methamphetamine abuser feel a sudden intense rush of pleasure, prolonged sense of euphoria, increased energy, focus, confidence, sexual prowess, feelings of desirability and decreased appetite. The drug has limited medical uses for the treatment of narcolepsy, attention deficit disorders, and obesity.

Long-term methamphetamine abuse destroys the body, cause addiction, meth mouth, anxiety, insomnia, mood disturbances, and violent behavior. Additionally, Chronic abuse can lead to psychotic symptoms such as paranoia, hallucinations, and delusions (such as the sensation of bugs crawling under the user's skin) can occur. The psychotic symptoms can last for months or years after methamphetamine use has ceased. Damage to users' cognitive abilities may be permanent.

Most amphetamines distributed to the black market are produced in clandestine laboratories. Methamphetamine laboratories are, by far, the most frequently encountered clandestine laboratories in the United States. The ease of clandestine synthesis, combined with tremendous profits, has resulted in significant availability of illicit methamphetamine.

Large amounts of methamphetamine are illicitly smuggled into the United States from Mexico. HELLO!

Family-focused efforts and support groups are found to be the best prevention strategies for abusers.

By working together, we can build a stronger, healthier America for generations to come.

Submit comments on this message. Email Art

National Methamphetamine Awareness Day

Enjoy this page? Please pay it forward. Here's how...

Would you prefer to share this page with others by linking to it?

  1. Click on the HTML link code below.
  2. Copy and paste it, adding a note of your own, into your blog, a Web page, forums, a blog comment, your Facebook account, or anywhere that someone would find this page valuable.